آیا اقامت در فضا ساختار مغز فضانوردان را دگرگون می کند؟ این شاید سوال خیلی از علاقه مندان به علم نجوم باشد که آیا اقامت در فضا علاوه بر تاثیرش بر فیزیک انسان می تواند تغییرات زیادی بر ساختار مغز فضانوردان نیز داشته باشد ؟ در ادامه با میهن پست همراه شوید.
برای پاسخ به این پرسش باید گفت که تحقیقات دانشمندان نشان میدهد که فاصله دور رگهای مغز پس از اینکه فضانوردان برای اولیت بار به فضا رفتند به نسبت حالت طبیعی آن کمی افزایش یافته است این در حالی است که رگ های خونی مغز فضانوردان در سفر مجدد آن ها به ایستگاه فضایی بین المللی دیگر تغییری نکرده است تا مشخص شود که ساختار درونی بدن فضانوردان در بیشتر مواقع ممکن است به مرور زمان با زندگی در فضا سازگار شوند.
در ادامه تحقیق در خصوص این که اقامت در فضا ساختار مغز انسان را دگرگون می کند؟ مشخص شده است که سفرهای طولانی فضانوردان به دور از زمین باعث تغییرات زیادی در بدن می شود و در بیشتر مواقع در عروق خونی و شریان های مغز تغییر ایجاد میکند.
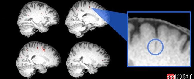
در این تحقیق دانشمندان مغز ۱۵ فضانورد را قبل و بعد از اقامت یلند مدت به ایستگاه فضایی بینالمللی اسکن کردند. محققان برای اندازهگیری فاصلۀ اطراف رگهای خونی مغز، از MRI استفاده کردند. دانشمندان چگونگی تغییرات این فاصله را قبل از سفر به فضا، بلافاصله پس از بازگشت از فضا و همچنین مدتی پس از بازگشت، بررسی کردند.
این در حالی بود که محققان در تحقیق خود در خصوص این که آیا اقامت در فضا ساختار مغز فضانوردان را دگرگون می کند؟ به این نتیجه رسیدند فضاوردان از مشکلات حافظه دیداری رنج نخواهد برد اما فواصل بین رگها برای حیات انسان روی زمین بسیار مهم است. آنها بخش مهمی از پاکسازی مغز هستند که طی بازههای زمانی رخ میدهند؛ به عنوان مثال، آنچه در طول خواب عمیق فضانوردان اتفاق میافتد. این فرآیند احتمالا با دور شدن از جاذبه گرانشی که انسان در آن رشد یافته در اکثر مواقع تغییر کرده است.
بد نیست بدانید که سازمان فضایی ناسا بیش از ۵۰ سال است که در حال بررسی فرایندهایی است که در بدن فضانوردان ه هنگام ورود به فضا اتفاق میافتد.
در این میان ناسا معتقد است که مطالعه اثرات سفرهای فضایی بر بدن فضانوردان میتواند به آمادهسازی آن ها برای اقامت طولانی مدت در فضا از جمله سفر به ماه و مریخ کمک کند.







